Before-After
Crowns
Constant stress cause teeth grinding, what wore down teeth.
She received 10 crowns on her upper front teeth and extended with dental hygiene treatment for her bottom teeth. After the treatment she is over the moon, she smiles again with confidence.
Bridge
This man wanted his upper and lower partial dentures and bridges replaced.
He needed lower partial dentures and bridges replaced. There was placed a 13 unit porcelain fused metal bridge and 2 implants on both sides of the mouth and another bridge.
Crowns / Bridge
This man required extensive dental treatment due to neglect.
He is able to visit restaurants with confidence and enjoy his meal again. For him two phase dental treatment was advised. At first dental polish treatment and 14-unit crowns on bridge placement.
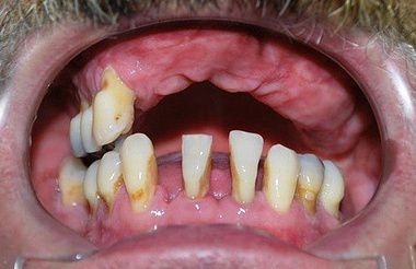
Crowns / Bridge
This man had bad upper teeth and an old crown and missing teeth from his lower jaw.
He is unbelievably happy and wishes he had had this valuable treatment in time. He was ill at ease, when eating and speaking due to dentures and a couple of missing teeth. There was implanted a 14-unit bridge on his upper and a 13-unit bridge on his lower jaw within short time.
Bridges
This man had problems eating and speaking due to dentures and several missing teeth.
He is unbelievably happy and wishes he had had this valuable treatment in time. He was ill at ease, when eating and speaking due to dentures and a couple of missing teeth. There was implanted a 14-unit bridge on his upper and a 13-unit bridge on his lower jaw within short time.
Bridges
The porcelain coating of this man`s low quality bridge had disintegrated over time.
There was placed a three unit bridge on her upper right jaw. The porcelain coating has been completely disintegrated of the low quality bridge. His previous bridge was replaced with a new aesthetic 14 unit bridge. However this wasn’t technically complex, he was amazed seeing his new smile.
Bridge
This man wanted to replace his old, broken bridges with new ones.
Replacing broken bridges. A 14 unit bridge was created for both of top and bottom jaws. A few weeks after this treatment, our patient contacted to inform us about his indescribably high life quality improvement.
Veneers
This lady had some old fillings and crowns that she wanted replaced.
Four lower teeth were renewed with E-Max veneers and only minimal filing down was required. She was amazed at just how quickly and easily she could receive all this treatment and how big a difference it has made to her life.
Swiss 5 day implant system
She had periodontal gum disease both on her upper and lower jaws.
She received Swiss 5 day full jaw restoration both on her upper and lower jaw. She left walking on air, wondering why she hadn’t taken the decision to have the treatment earlier.
Swiss 5 day implant system
This man had an old bridge in his upper jaw and several missing teeth in his lower jaw.
His old bridge was replaced, he received 8 Swiss 5 day implants (BCS/KOS) and a 14-unit bridge on the upper jaw, and 9 Swiss 5 day implants (BCS/KOS) and a 14-unit bridge on the lower jaw. He was astounded at how big a difference the treatment made to him.
Swiss 5 day implant system
This lady was missing all of her upper teeth.
She received Swiss 5 day implants and a 12 unit bridge on her upper jaw. She said that one of the best days of her life had been the day she received her new teeth.
Swiss 5 day implant system
This patient had significant bone loss around most of his teeth.
He recieved Swiss 5 day implants both on his upper and lower jaw with fixed bridges, significantly enhancing the overall appearance of his teeth.
Swiss 5 day implant system
Most of this lady`s teeth had begun to fall out over the previous 3 years.
She was given 8 Swiss 5 day implants (BCS/KOS) and a 12 unit bridge on her upper jaw and 6 Swiss 5 day implants (BCS/KOS) and a 12 unit bridge on her lower jaw. She left absolutely delighted with her treatment, convinced that it was the best thing she had ever done!
IMPLANTS
This lady had an old bridge in her upper jaw and loose teeth in her lower jaw.
She received 12 BCS, KOS immediate implants in her upper jaw, and 3 MIS implants in her lower jaw. New, highly aesthetic bridges were put in place in just 5 days and she now has her confidence back.
Swiss 5 day implant system
This middle-aged man had loose teeth and was only able to eat soft food.
He received 10 Swiss 5 days implants (BCS/KOS) and a 14 unit bridge on his upper jaw and 8 Swiss 5 days implants (BCS/KOS) and a 14 unit bridge in his lower jaw. Shortly after treatment he was able to enjoy his favourite foods again.
Swiss 5 day implant system
This man had periodontal gum disease and bone recession around his teeth.
All of his teeth were extracted and the gums were cleaned up. He received 12 BCS, KOS implants and a 14-unit bridge on the upper jaw, and 9 BCS implants and a 14-unit bridge on the lower jaw.
Swiss 5 day implant system
This lady`s upper teeth were loose and causing her discomfort.
After having her upper teeth removed, she received 10 Swiss 5 day implants (BCS/KOS) and a 14 unit bridge. On her lower jaw she had 4 Swiss 5 day implants (BCS/KOS) and two 3 unit bridges inserted. Her distress and dentures are now a thing of the past.
IMPLANTS
This man`s gums were constantly swollen and bled a lot, so his teeth couldn`t be fixed.
After having them removed he received 10 unit implants and a 14 unit bridge in his upper jaw and 9 implants plus a 12 unit bridge in his bottom jaw. He now suffers no pain or anxiety and realises how much time he wasted by postponing treatment.
Swiss 5 day implant system
This man had problematic dentures, bleeding gums and a lot of fillings.
He received Swiss 5 day implants and 12 unit bridges both on his upper and lower jaw. He is now more than happy with his new teeth and his previous problems, including bleeding gums, have disappeared.
Swiss 5 day implant system
This man had just two upper teeth and his lower teeth were badly worn.
He received 9 Swiss 5 day implants (BCS/KOS) and a 14 unit bridge on his upper jaw and a 12 unit bridge were placed on his lower jaw. He is amazed with the result and never believed a solution was so easily attainable.
IMPLANTS
This man had serious periodontal gum disease and couldn’t eat properly.
His teeth were replaced with 10 implants and a 14 unit bridge in the upper jaw and 9 implants plus a a 12 unit bridge in the lower jaw. Thanks to the treatment he received, the periodontal gum disease disappeared and he can now eat whatever he likes.
Swiss 5 day implant system
Dentures problem, old bridges, missing teeth
All of his teeth were extracted and the gums were cleaned up. He received Swiss 5 day implants and fixed bridges both on the upper and lower jaw. He is now being able to chew properly on the bottom right side of his mouth again.
Swiss 5 day implant system
This man had serious periodontal gum disease and couldn’t eat properly.
After having all of his remaining teeth removed he received full jaw restoration with 11 Swiss 5 day implants (BCS/KOS) and a 14 unit bridge on his upper jaw and 10 Swiss 5 day implants (BCS/KOS) and a 14 unit bridge on his lower jaws. He has no pain or anxiety and very happy with his beautiful new smile.
Book your consultation
in London
The consultation costs £100 which includes a Panoramic X-ray also!
Awards

Customer service awards
in 2011, 2012, 2015, 2016, 2017, 2019, 2020, 2021 by WhatClinic 2011, 2012, 2015, 2016, 2017, 2019, 2020, 2021 by WhatClinic

5 star treatment
every year since 2007 by WhatClinic Every year since 2007
by WhatClinic

1st in their list of London clinics by Global Clinic Rating 1st in London clinics by Global Clinic Rating

2nd in their global list
by Global Clinic Rating

Tibor Dental's score: 4.9/5 top 1% of clinics on MedBeaver In the top 1% of clinics
on MedBeaver

100% patients recommended clinic
to family or friends on MedBeaver 100% recommended
on MedBeaver